Аблятивные CO2 лазеры
Аблятивные лазеры создают лучи когерентного света, генерируя энергию, поглощаемую тканями тела
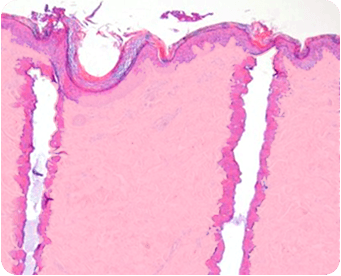
Аблятивные лазеры создают лучи когерентного света, генерируя энергию, поглощаемую тканями тела. Энергия подается на определенной длине волны, происходит нагревание тканей при поглощении энергии, и, как следствие, их выпаривание и абляцию. Аблятивные лазеры эффективно работают с широким спектром состояний, удаляя кожу полностью или частично. Естественная реакция организма способствует заживлению и замене поврежденной ткани новой здоровой кожей. Хотя существует несколько типов аблятивных лазеров с разными длинами волн, CO2 лазеры считаются золотым стандартом, сочетающим абляцию и коагуляцию (нагрев без выпаривания).
Исключительное сочетание абляции/коагуляции
Как работает CO2 лазер?
CO2 лазер испускает лазерный луч с длиной волны 10 600 нм, поглощаемый водой, содержащейся в тканях. Энергия лазера разогревает воду до состояния кипения, вызывая вапоризацию пораженной ткани. Какое-то количество тепла поглощается окружающими тканями, вызывая коагуляцию, приводящую к гемостазу (остановке кровопотери), а также термическую стимуляцию глубоких слоев кожи, активизирующую фибробласты и приводящую к неоколлагенезу (формированию нового коллагена).
Лазерный луч может также доставляться через сканер, используемый для контроля доставки энергии. Сканер регулирует способ доставки энергии, который может приводить как к сплошному покрытию зоны лечения, так и к фракционному (оставляя интактными участки между зонами повреждения); (так же известно как фракционная абляция).
Общий эффект абляции и коагуляции, полной или фракционной, заключается в удалении пораженной кожи и стимуляции организма замещать эти участки новой молодой кожей.
Полный спектр возможностей Продвинутого Режима Непрерывного Излучения
В CO2 аппаратах от Lumenis реализованы три импульсные технологии:

UltraPulse®
UltraPulse® генерирует короткий импульс высокой мощности, обеспечивая идеальное соотношение глубокой абляции и коагуляции

UltraPulse® SCAAR FX™ Mode
Диаметр пятна: 120мкм
Энергия: 150мДж
Плотность: 3%
Не рассматривается как клинический результат

До 4 мм за 1 импульс

SuperPulse™
SuperPulse генерирует короткий импульс высокой мощности, обеспечивая идеальное соотношение глубокой абляции и коагуляции.

AcuPulse™ Deep™ Mode
Диаметр пятна: 120мкм
Энергия: 20мДж
Плотность: 15%
Глубина воздействия: 700мкм
Не рассматривается как клинический результат

До 1 мм за 1 импульс

Непрерывный режим (CW)
Лазер, работающий в непрерывном режиме, генерирует длительный импульс низкой мощности для поверхностного воздействия и более широкой зоны коагуляции, используется при сплошной абляции и фракционных процедурах.

AcuPulse™ Superficial™ Mode
Диаметр пятна: 1.3мм
Энергия: 170мДж
Плотность: 60%
Глубина воздействия: 150-200мкм
Не рассматривается как клинический результат

До 1 мм за 1 импульс

Коррекция рубцов
AcuPulse позволяет работать с множеством выраженных повреждений кожи, требующих коагуляции и абляции для ремоделирования высокого уровня
Коррекция рубцов постакне
Аблятивные CO2 технологии Lumenis могут значительно уменьшить выраженность рубцов, даже глубоких, а также ремоделировать поврежденную кожу и улучшать ее цвет.
Лечение сирингомы
Сирингомы – это доброкачественные опухоли, обычно локализующиеся на веках, но могут располагаться и на других участках тела. Их можно безопасно лечить при помощи CO2 лазера без риска образования рубцов.
Блефаропластика
Lumenis предлагает готовое решение для блефаропластики, сочетающее возможности иссечения и дополнительную опцию ремоделирования кожи век. Лазерное иссечение позволяет сократить кровотечение во время операции, и снижает степень послеоперационных гематом.
Фракционное аблятивное ремоделирование
В процедурах аблятивного ремоделирования кожи лазеры применяются для сокращения признаков старения, улучшения текстуры, тонуса и цвета кожи, уменьшения выраженности рубцов и стрий. Аблятивное ремоделирование идеально подходит пациентам, стремящимся к кардинальному улучшению за одну процедуру.
Ринофима
Ринофима-заболевание в области носа, при котором происходит увеличение его размеров за счет избыточного роста сальных желез. Чаще всего это является следствием запущенной розацеа. Заболевание можно лечить при помощи хирургического CO2 лазера.
Коррекция глубоких морщин
Аблятивные CO2 технологии от Lumenis позволяют улучшать состояние и цвет кожи с минимальным восстановительным периодом. Это возможно благодаря уникальным импульсным технологиям и гибким режимам
Женское здоровье
Опция женского здоровья аппарата AcuPulse™ предоставляет ряд минимально инвазивных процедур для женщин, страдающих гинекологическими заболеваниями, влияющими на качество их жизни, уверенность в себе и интимную жизнь.

CO2 в цифрах
~2
реабилитация
(недели)
86%
30+
Медицинские показания
с которыми работают аблятивные CO2 лазеры от Lumenis
Узнайте, что думают врачи
“В жизни очень редко встречаются рубцы, связанные с приятными событиями. Каждый раз пациенты, просыпаясь и принимая душ, видят рубцы, и, как правило, они напоминают им о чем-то плохом. UltraPulse действительно хороший аппарат – прост в использовании и очень универсален. Еще одно преимущество UltraPulse в том, что после лечения пациенты часто говорят, как оно повлияло на их жизнь, и как быстро после процедур стала заметна разница”.
Dr. Jill S. Waibel, Dr. Rox Anderson, Dr. E. Victor Ross, Dr. Nathan S. Uebelhoer, Dr. Tina Alster, Dr. Matthias B. Donelan, and Dr. Peter R. Shumaker возвращают пациентам надежду с UltraPulse
CO2 лазер UltraPulse от Lumenis – универсальный инструмент, который я использую в первую очередь для лазерного ремоделирования и коррекции плоских, атрофических и гипертрофических рубцов. Аппарат был разработан для доставки очень высокой энергии, это самый мощный фракционный аппарат на рынке с самой большей глубиной воздействия и оптимальным соотношениям абляции/коагуляции, что делает его более безопасным в отношении коррекции рубцов, чем другие фракционные технологии”.
Доктор Daniel Friedman и две довольные пациентки говорят о преимуществах применения UltraPulse для уменьшения морщин и ремоделирования кожи лица
“AcuPulse – особенный аппарат, он сочетает глубокое и поверхностное воздействие, кроме того отличительной особенностью является то, что он позволяет работать со многими показаниями одной рукояткой, что делает его удобным для пользователя, в отличие от других аппаратов на рынке, когда необходимо выбирать между поверхностным или фракционным методами. Поэтому для меня это прекрасный аппарат для работы как в поверхностном режиме, так и в более глубоком, я всегда могу переключаться между ними, не прерывая работу”.
Узнайте, что Доктор Michael Gold думает о своем аппарате AcuPulse и как его использует

Клиническая эффективность
(2014) Лазерное лечение травматических рубцов с акцентом на фракционное ремоделирование
Цель: объединить наш клинический опыт и доступную литературу относительно лазерной коррекции травматических рубцов с акцентом на фракционное ремоделирование.
Выводы и значение: Лазерная терапия рубцов, в особенности фракционное аблятивное лазерное ремоделирование, является перспективным и недооцененным методом многостороннего лечения травматических рубцов. Процесс смены существующей парадигмы лечения рубцов должен предусматривать интеграцию фракционного ремоделирования в другие методы комбинированной терапии и сопровождаться дальнейшими исследованиями.
(1999) Ксантелазма век: Лечение при помощи CO2 лазера Ultrapulse
Актуальность и цель исследования: За счет локализации в деликатной зоне вблизи глаз и высокой степени рецидива терапия ксантелазмы век является сложной хирургической задачей. Кроме химических методов, распространены механические и хирургические технологии лечения с использованием различных лазерных аппаратов (аргоновый лазер, импульсный на красители, CO2). Целью данного исследование была всесторонняя оценка применения ультраимпульсного CO2 лазера в лечении ксантелазмы век.
Выводы: Ультраимпульсный CO2 лазер -эффективная и безопасная альтернатива вышеуказанным методам.
Проспективное рандомизированное контролируемое исследование для выявления эффективности поверхностого нанесения ботулинотоксина А для коррекции «гусиных лапок» после аблятивного CO2 лазера
Цель: Определить эффективность ботулотоксина при его нанесении на кожу непосредственно после фракционной аблятивной CO2 процедуры.
Выводы: Применение топической, неинъекционной формы ботулотоксина, путем нанесения на поверхность кожи после аблятивной фракционной CO2 процедуры эффективно при лечении периорбитальных морщин.
Результаты лечения гипертрофических ожоговых рубцов у детей при помощи фракционных CO2 лазеров
Аблятивные CO2 лазеры не так широко использовались для лечения последствий ожогов в педиатрии, принимая во внимание малое количество публикаций и отсутствия протоколов лечения. В статье представлен опыт, показывающий клиническое значение аблятивных фракционных CO2 лазеров в лечении гипертрофических рубцов у детей.
Аппараты
Использование этой же технологии

UltraPulse
Самый мощный CO2 лазер для эстетики

AcuPulse
Готовая платформа для аблятивного лазерного ремоделирования
PB-1004645RU Rev A